Bọc Răng Sứ Thẩm Mỹ
Những Biến Chứng Có Thể Xảy Ra Khi Bọc Răng Sứ

Ngày nay, để phục vụ cho quá trình làm đẹp của răng, kỹ thuật bọc răng sứ thẩm mỹ càng ngày càng được nhiều người lựa chọn hơn. Tuy nhiên, bên cạnh những giá trị mà bọc răng sứ mang lại, thì còn có những biến chứng có thể xảy ra mà bệnh nhân nên biết để có thể cân nhắc trước khi quyết định phục hình thẩm mỹ nhằm bảo vệ an toàn sức khỏe cho bản thân.
Dưới đây là một số biến chứng mà bệnh nhân có thể gặp phải khi phục hình thẩm mỹ bằng phương pháp bọc răng sứ:
Biến chứng có thể xảy ra khi bọc răng sứ
1. Cảm giác đau nhức răng sau khi bọc sứ
Thông thường thì quá trình sau khi bọc răng sứ dù là đơn lẻ 1, 2 chiếc hay cả nguyên hàm đều không gây ra cảm giác đau nhức hoặc chỉ đau nhức nhẹ trong vài ngày. Còn trong trường hợp đau nhức kéo dài, cụ thể là khoảng 7 ngày trở lên thì nguyên nhân có thể là do bệnh nhân bị viêm tủy, hoặc là quá trình lấy tủy trước khi bọc sứ vẫn còn sót.
Hoặc nguyên nhân gây ra hiện tượng đau nhức là từ quá trình mài cùi, các bác sĩ có thể đã mài quá nhiều, can thiệp quá sâu vào cấu trúc của răng nên sau khi gắn mão sứ, bệnh nhân luôn có cảm giác đau nhức, khó chịu.

2. Viêm nướu
Viêm nướu là một vấn đề cũng rất thường hay xảy ra sau khi bọc răng sứ, vì trong quá trình mài răng, bác sĩ mài quá nhiều, hoặc trong lúc mài gây ảnh hưởng lên nướu răng… khiến cho vi khuẩn có nhiều khả năng tấn công vào bên trong gây viêm nhiễm cùi răng bên trong sau khi bọc sứ, gây viêm nhiễm nướu răng do tổn thương hoặc các mô mềm xung quanh.
Tình trạng viêm nướu cũng có thể do labo làm răng sai kỹ thuật dẫn tới thừa hoặc thiếu bờ viền phục hình làm cho thức ăn nhồi nhét và gây viêm.
Tình trạng viêm nướu cũng có thể xuất hiện do nguyên nhân là bệnh nhân bị dị ứng với răng giả.

3. Bị hôi miệng
Tình trạng bị hôi miệng sau khi bọc sứ có thể là do bệnh nhân không vệ sinh răng miệng sạch sẽ, thức ăn vẫn còn đọng lại xung quanh răng, các loại vi khuẩn sẽ phân hủy mảng bám thức ăn này khiến cho hơi thở có mùi nặng.

4. Răng sứ bị nứt vỡ, đổi màu
Răng sứ bị nứt, vỡ hay đổi màu có thể là do bệnh nhân không tuân thủ theo đúng sự chỉ dẫn của bác sĩ. Thường răng sứ bể là do bệnh nhân cắn các loại thức ăn hoặc một số loại hạt quá cứng. Khi gặp trường hợp này có thể đến nha khoa để thực hiện phục hình lại răng sứ mới.
Đôi khi trường hợp này là do quá trình chế tạo răng sứ gặp lỗi kỹ thuật, hoặc nơi chế tạo răng sứ dùng những vật liệu không đảm bảo chất lượng, bị lẫn tạp chất. Điều này xảy ra chủ yếu ở những trung tâm nha khoa không uy tín khi không nắm được quy trình thực hiện răng sứ ở labo.

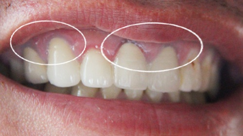
5. Viền nướu bị thâm đen
Trong trường hợp viền nướu bị thâm đen là do sự lựa chọn răng sứ phục hình của bệnh nhân. Đa phần răng sứ bị thâm đen viền là do bệnh nhân sử dụng loại răng sứ có khung sườn bên trong làm bằng kim loại.
Vì được làm bằng kim loại bên trong, nên sau một thời gian sử dụng, nó sẽ bị oxy hóa vì phải tiếp xúc với nhiều loại thức ăn hoặc do phương pháp chảy răng không đúng cách là nướu răng bị tuột lên trên và phần sứ tại vị trí chân răng bị mòn bớt. Viền đen chính là màu của phần sườn răng sứ bị lộ ra ngoài.

Để tránh được những biến chứng xảy ra sau khi bọc răng sứ, trước tiên bệnh nhân nên tìm hiểu, lựa chọn nha khoa uy tín với tay nghề của các bác sĩ phục hình cao để thực hiện quá trình phục hình. Bên cạnh đó, bệnh nhân nên tuân thủ theo lời chỉ dẫn của bác sĩ cũng là điều vô cùng cần thiết để răng miệng luôn được sạch sẽ và hạn chế tối đa những biến chứng trên.
Nguồn: Kiến thức nha khoa
