Bệnh Sâu Răng
Các Mức Độ Của Bệnh Sâu Răng
Các Mức Độ Của Bệnh Sâu Răng
Sâu răng là một loại bệnh lý rất quen thuộc mà bất kỳ ai trong chúng ta đều có thể sẽ gặp phải mà không hề có sự phân biệt giới tính hay tuổi tác. Bệnh sâu răng có nhiều mức độ khác nhau, mỗi một mức độ bệnh sẽ có những dấu hiệu, cách điều trị hoàn toàn khác nhau. Vì vậy, để mọi người hiểu rõ hơn, chúng tôi xin chia sẻ về cách mức độ của bệnh sâu răng là như thế nào và cách khắc phục cụ thể nhé.
Sâu răng là bệnh lý răng miệng phổ biến diễn ra ở tất cả mọi người. Giới chuyên gia nha khoa thế giới chia sâu răng thành 3 mức độ khác nhau dựa vào sự phá hủy của sâu răng trên răng.
Các mức độ của bệnh sâu răng: Mức độ 1
Đây là mức độ nhẹ nhất của bệnh sâu răng. Biểu hiện là xuất hiện những vết lốm đốm đen trên thân và bề mặt răng, tuy nhiên người bệnh vẫn chưa thấy đau nhức nên thường chủ quan và không thực hiện điều trị.
Khi thấy các dấu hiệu trên bạn nên đến trực tiếp nha khoa để bác sĩ điều trị tránh tình trạng nặng hơn. Biện pháp được áp dụng lúc này là tái khoáng lại phần bị sâu, ngăn ngừa sâu răng phát triển và lan rộng.
Trên răng có những đốm đen nhỏ
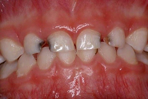
Các mức độ của bệnh sâu răng: Mức độ 2
Là tình trạng ngà răng bắt đầu bị phá hủy, sâu răng ăn sâu bên trong men răng, người bệnh bắt đầu có cảm giác đau nhức, ê buốt răng khi tiếp xúc với các thực phẩm nóng, lạnh.
Để khắc phục tình trạng sâu răng mức độ 2 sẽ áp dụng phương pháp hàn trám răng. Lúc này, bác sĩ sẽ cạo sạch vết sâu răng sau đó dùng vật liệu chuyên dụng để lấp lại vết sâu đó.

Sâu răng bắt đầu phá hủy men răng
Các mức độ của bệnh sâu răng: Mức độ 3
Khi sâu răng ở mức độ 2 không được điều trị sẽ bắt đầu lan vào tủy. Lúc này các chất có trong môi trường răng miệng sẽ tiếp xúc trực tiếp với tủy răng gây đau nhức thường xuyên và dữ dội hơn và thậm chí còn bị viêm tủy cấp tính.
Càng để lâu các vết sâu sẽ càng lan rộng ra các răng khác, khi bệnh đang ở mức độ sâu men răng thì bác sĩ có thể dùng biện pháp hàn trám để khắc phục nhưng khi bệnh lây lan nặng làm tổn thương tới tủy răng nhiều, mức độ bao phủ tủy không còn đáng kể nữa thì việc trám, hàn không còn có tác dụng nữa.
Sâu răng đã ăn sâu xuống tủy răng
Lúc này cần điều trị kịp thời để tránh việc viêm nhiễm nặng, vi khuẩn tấn công gây nhiễm trùng đi sâu vào xương gây ra áp xe răng, viêm xương hàm và viêm mô tế bào rất nguy hiểm. Nếu sâu răng làm răng gãy vỡ nhiều thì bác sĩ sẽ điều trị tủy trước, sau đó bọc lại răng sứ để bảo tồn chiếc răng. Trường hợp, quá nặng không thể bọc răng sứ thì sẽ không điều trị tủy nữa mà phải nhổ luôn chiếc răng đó.
Với các mức độ bệnh sâu răng như chúng tôi chia sẻ trên đây, để tránh bệnh ngày càng nặng hơn, gây ảnh hưởng chung đến sức khỏe răng miệng thì các bạn nên lưu ý cần phải tiến hành điều trị ngay từ ban đầu khi phát hiện những dấu hiệu của bệnh và nên tìm cho mình một địa chỉ nha khoa uy tín để điều trị nhé.
Nguồn: Kiến thức nha khoa
