Cấy Ghép Răng Implant
Quy Trình Trồng Răng Implant Như Thế Nào?

Trồng răng Implant đòi hỏi quá trình thực hiện phải theo đúng trình tự từng bước cụ thể, mỗi bước đều phải được kiểm tra chặt chẽ bởi những người phụ trách có chuyên môn cao. Vậy quy trình trồng răng Implant như thế nào là tốt nhất?
Nếu chẳng may bạn bị mất răng vì một lý do nào đó thì việc phục hồi răng mất là điều cần thiết, nếu những phương pháp trồng răng cũ như hàm tháo lắp, cầu răng sứ vẫn còn tồn tại nhiều khuyết điểm thì phương pháp trồng răng Implant được ra đời nhằm mục đích khắc phục tất cả những khiếm khuyết của các phương pháp cũ này.
Thông thường, để thực hiện trồng răng Implant thì bác sĩ thực hiện cụ thể từng bước từ khi bắt đầu quá trình thăm khám đến lúc điều trị kết thúc để đảm bảo an toàn sức khỏe cơ thể của bệnh nhân trong suốt quá trình thực hiện, và mang đến một kết quả trồng răng hoàn hảo nhất. Dưới đây là quy trình trồng răng Implant theo trình tự từng bước:
1. Thăm khám và tư vấn:
Bác sĩ sẽ tiến hành thăm khám tình trạng sức khỏe răng miệng của bệnh nhân, chụp phim CT 3D toàn hàm để xác định mức độ xương hàm như thế nào để từ đó xem xét bệnh nhân có thể thực hiện được trồng răng Implant không, cũng như có kế hoạch điều trị cụ thể.
Bác sĩ cũng sẽ tư vấn cho bệnh nhân hiểu rõ về quy trình trồng răng Implant như thế nào, thời gian điều trị trong bao lâu… để bệnh nhân có cách sắp xếp cho phù hợp.

Bác sĩ sẽ thăm khám và tư vấn cho bệnh nhân hiểu rõ
2. Vệ sinh răng miệng:
Trước khi bắt đầu vào quá trình phẫu thuật để cấy ghép trụ Implant vào trong xương hàm thì bác sĩ sẽ hướng dẫn bệnh nhân vệ sinh răng miệng sạch sẽ để làm sạch các vi khuẩn có trong khoan miệng, nhầm tránh trường hợp viêm nhiễm khi tiến hành cấy ghép gây ảnh hưởng đến sức khỏe của bệnh nhân.

Vệ sinh răng miệng để tránh tình trạng bị viêm nhiễm
3. Quá trình gây tê:
Bệnh nhân sẽ được gây tê vào vùng răng cần thực hiện phẫu thuật, bước gây tê này nhằm mục đích giúp giảm thiểu tối đa cảm giác đau nhức để bệnh nhân cảm thấy dễ chịu và thoải mái hơn trong suốt quá trình thực hiện.

Gây tê để làm giảm cảm giác đau nhức trong suốt quá trình thực hiện trồng răng
4. Tiến hành đặt trụ Implant vào xương hàm:
Khi thuốc tê đã phát huy tác dụng thì bác sĩ sẽ tiến hành thực hiện đặt trụ Implant vào xương hàm theo từng bước:
- Mở vạt, tách nướu để lộ phần xương hàm bên trong.
- Bác sĩ sẽ sử dụng những muỗi khoan theo kích cỡ phù hợp để khoan vào phần xương hàm từ nông cho đến sâu theo đúng số đo của trụ Implant mà bệnh nhân đã lựa chọn trước đó.
- Khi xương hàm được khoan với kích thước vừa đủ thì trụ Implant sẽ được đặt vào lỗ khoan này và nắp đậy trụ Implant được lắp lại.
- Bác sĩ sẽ khâu lại vết thương và bệnh nhân đã có thể về nhà nghỉ ngơi chờ đến ngày tái khám.

Tiến hành đặt trụ Implant vào xương hàm
Thực tế, quy trình trồng răng Implant đặt trụ này diễn ra rất nhanh, thông thường bác sĩ chỉ mất khoảng 10 – 15 phút là đã hoàn thành xong một trụ Implant.
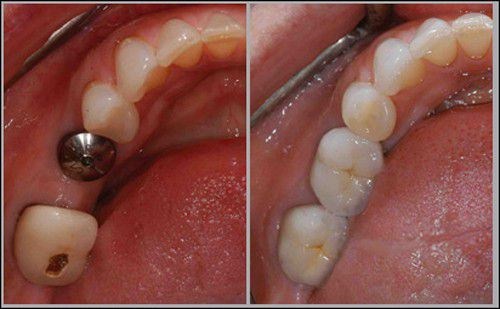
5. Phục hình răng sứ trên Implant:
Sau khoảng thời gian 1 – 6 tháng (tùy theo cơ địa của mỗi người) khi trụ Implant và xương hàm tích hợp vào nhau thành một khối thống nhất thì bệnh nhân sẽ được tiến hành gắn chốt Abutment và răng sứ cũng sẽ được phục hình lên trên để tạo thành một chiếc răng giả hoàn chỉnh.

Gắn chốt Abutment và phục hình răng sứ lên trên
Qua bài viết “Quy trình trồng răng Implant như thế nào?” đã được chúng tôi chia sẻ trên đây, nhờ quy trình trồng răng Implant hiện đại này mà nhiều bệnh nhân đã được phục hồi răng thành công với mức độ ổn định cao, ăn nhai tốt và hoàn toàn thoải mái trong suốt quá trình sử dụng.
Nguồn: Kiến thức nha khoa
-
Top Các Nha Khoa Ứng Dụng Công Nghệ Định Vị Implant
-
NHA KHOA ĐÔNG NAM SỬ DỤNG CÔNG NGHỆ CAO CẤY GHÉP IMPLANT ETK ACTIVE NHANH NHẤT
-
Nha Khoa Đông Nam rất chu đáo và nhiệt tình chuyên sâu về Trồng Răng Implant
-
Quy Trình Cấy Ghép Răng Implant Đúng Tiêu Chuẩn?
-
Trồng Implant khi bị mất 1 răng có được không?
